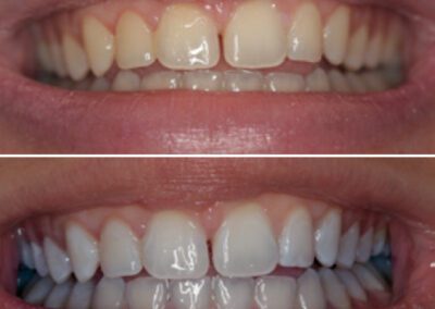
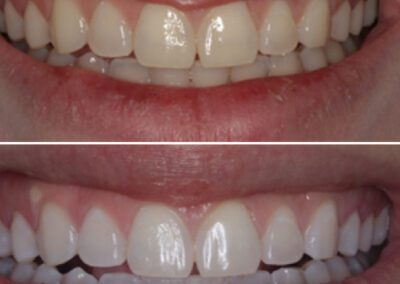
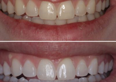
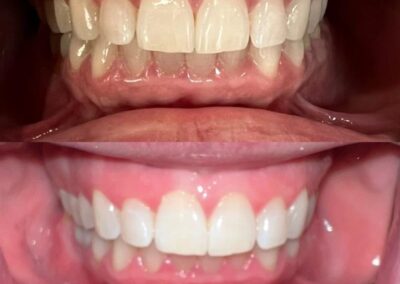
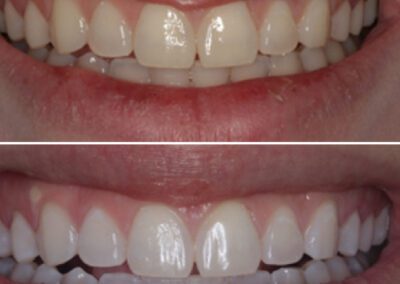
Teeth Whitening

Glo Whitening

ABOUT GLO PROFESSIONAL WHITENING

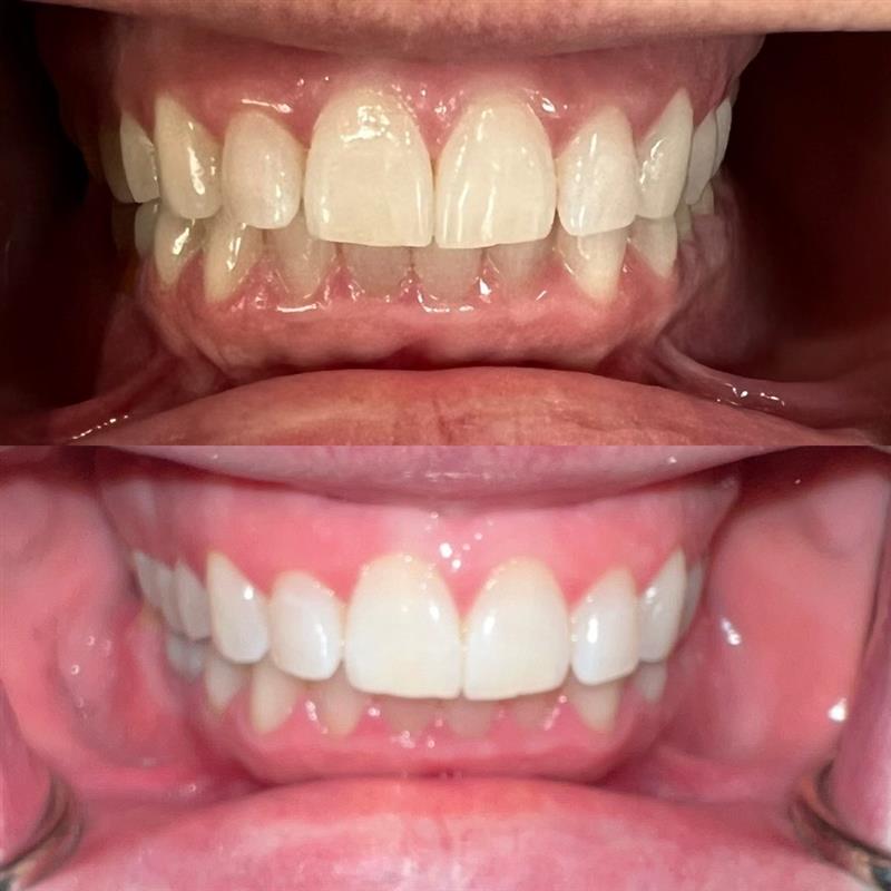
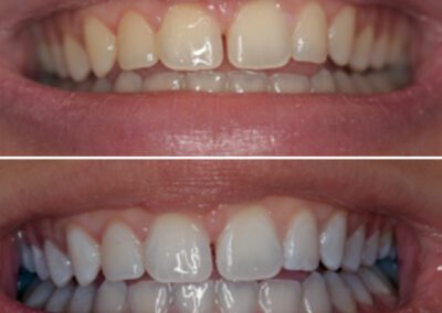
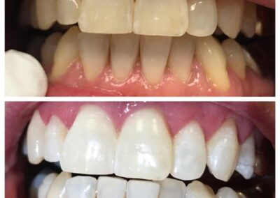
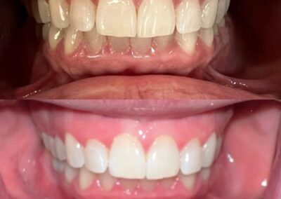
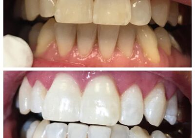
Monde Dental is your trusted source for stellar teeth whitening solutions in Toronto, Canada. We believe in the transformative power of a radiant, white smile and its ability to uplift your confidence and make you truly ‘GLO’ from within!

We take immense pride in being a certified GLO Science dental practice, dedicated to delivering the highest quality of teeth whitening experiences available. Our commitment to you includes swifter appointments, remarkable whitening results, and minimal sensitivity – all tailored to suit your individual needs.

Our range of GLO teeth whitening services offers unique options that align with your lifestyle and specific whitening requirements. These exclusive treatments are only provided through certified GLO dental practices such as ours. Allow us to guide you towards your most vibrant smile and curate the optimal whitening treatment just for you. Schedule your GLO whitening appointment today!

Book your GLO whitening appointment today! Click here!

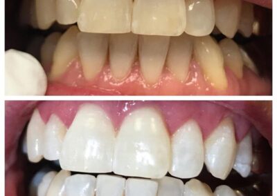
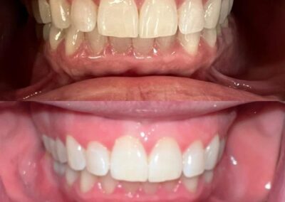
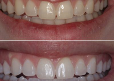
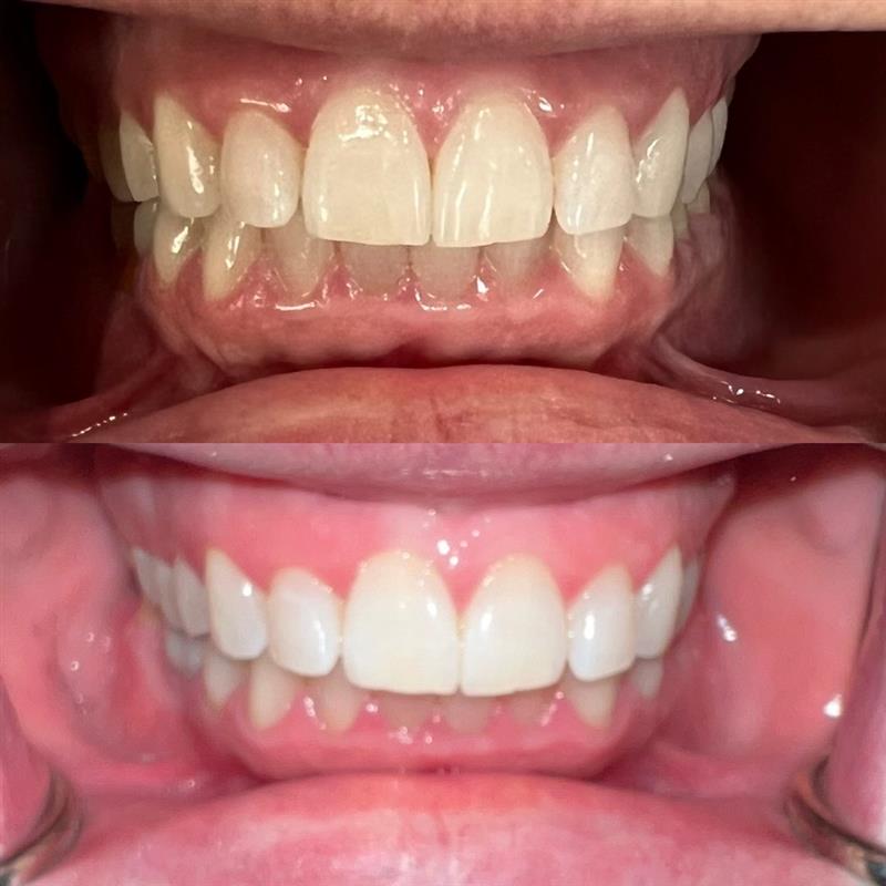
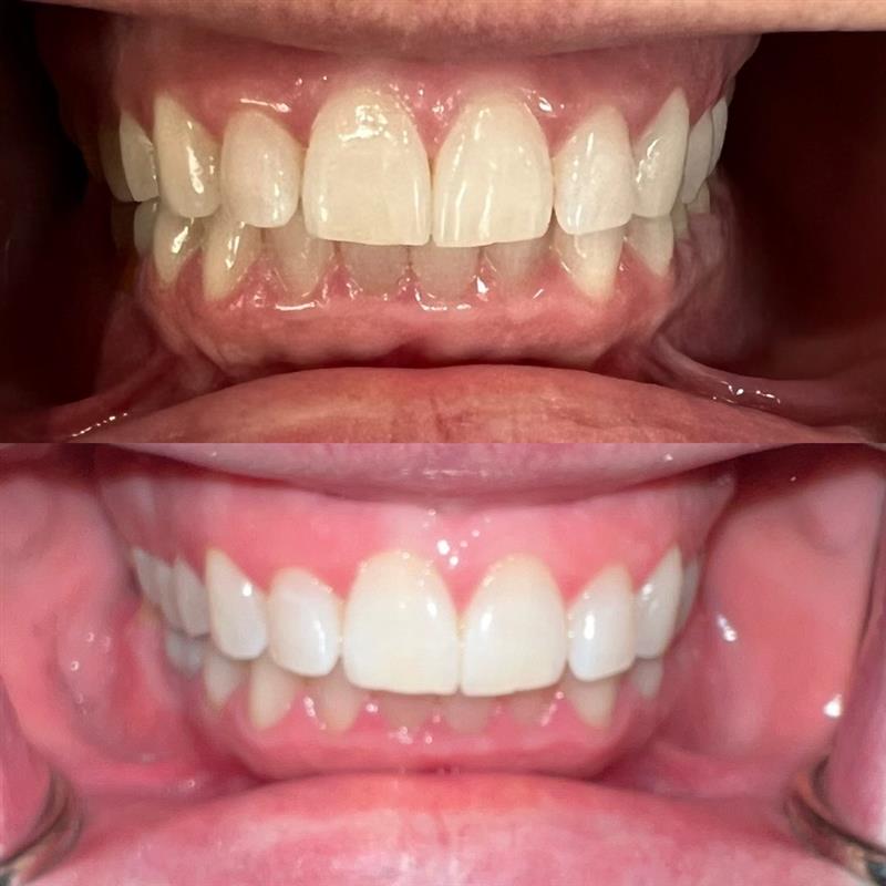
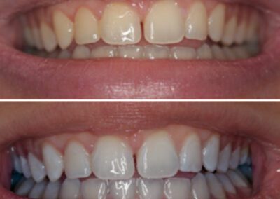
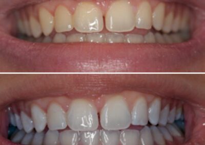
GLO IN-OFFICE WHITENING

For those seeking an in-office solution, our GLO Whitening procedure promises dramatically brighter teeth in under 32 minutes. This treatment uses an innovative mouthpiece that combines warming heat and light technology to accelerate the whitening process. This ensures safe, clinically approved results with little to no discomfort. Schedule your in-office GLO whitening appointment today!

Book your In-Office GLO whitening appointment today! Click here!

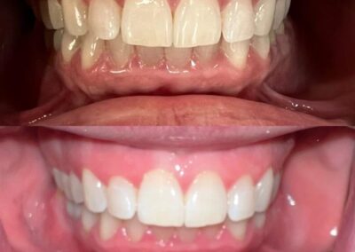
GLO PROFESSIONAL TAKE-HOME WHITENING KIT

For the convenience of home treatments, we offer the GLO Professional Take-Home Whitening Kit. This kit features professional-grade GLO technology and whitening gel, allowing you to maintain your gleaming smile in your own space and on your own schedule. This kit can be used independently or in conjunction with in-office treatments, available exclusively at GLO-certified practices like ours.

If you are on the lookout for a reliable dental clinic in Toronto offering regular teeth whitening treatments, your search ends with Monde Dental. Dial 416-551-7337 to book an appointment with our exceptional dental team today. Monde Dental – empowering Toronto with captivating, GLO-ing smiles.

Skip to content